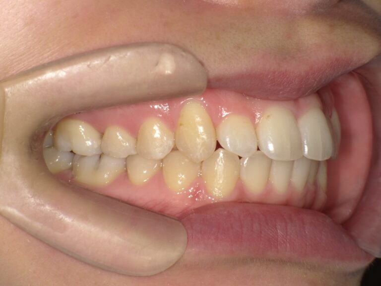
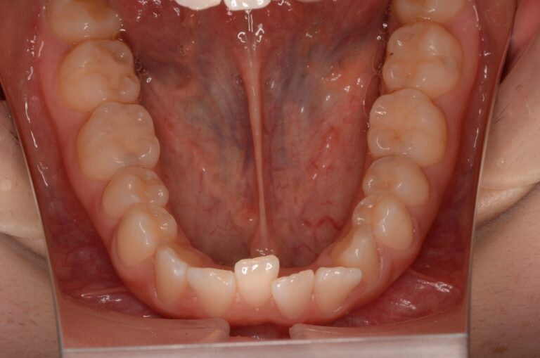
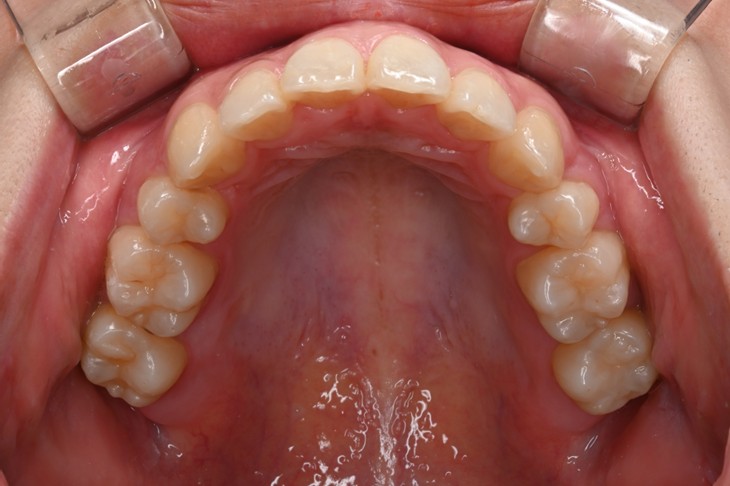
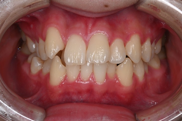
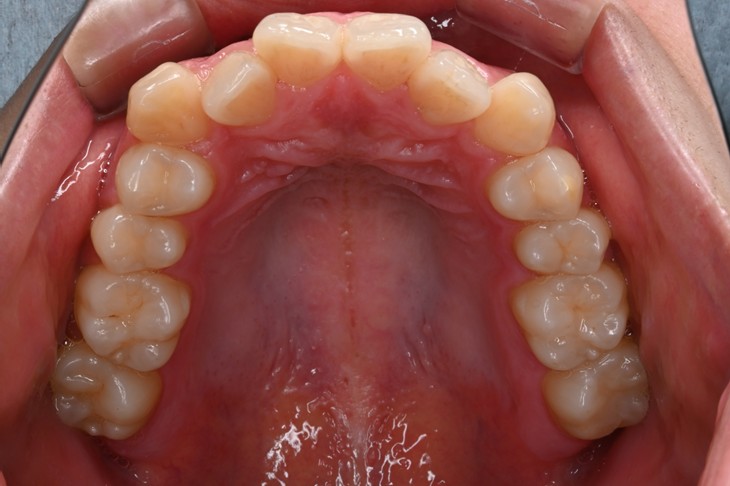
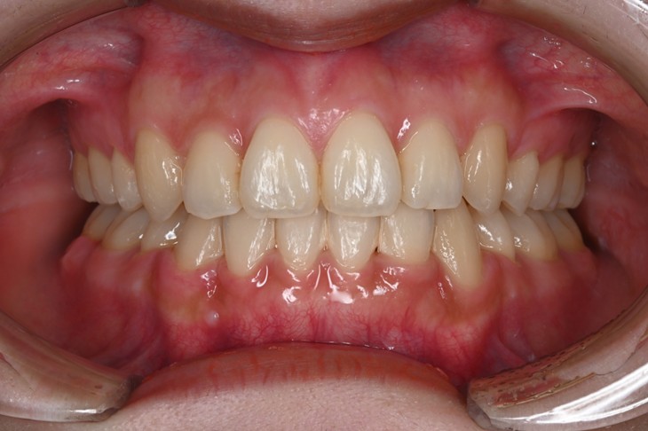
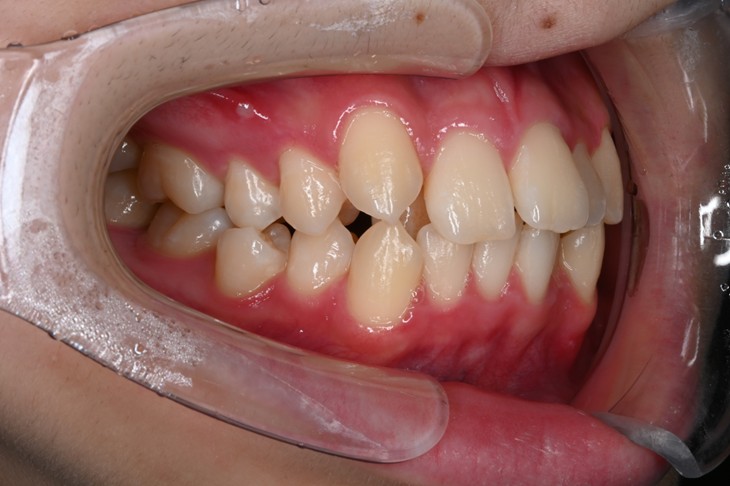
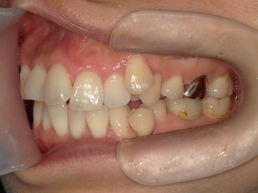
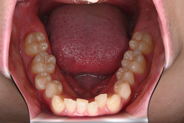
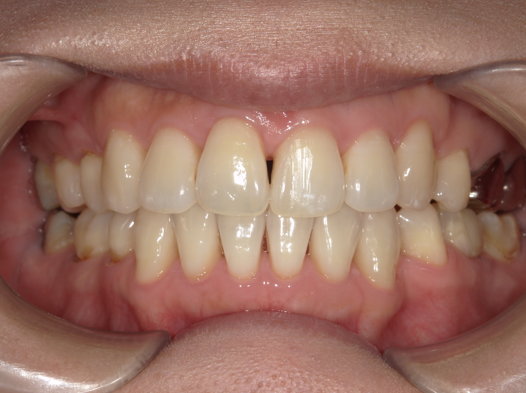
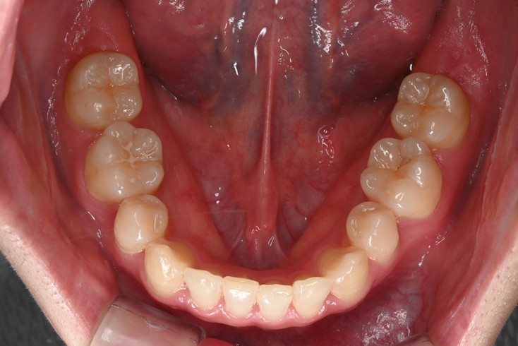
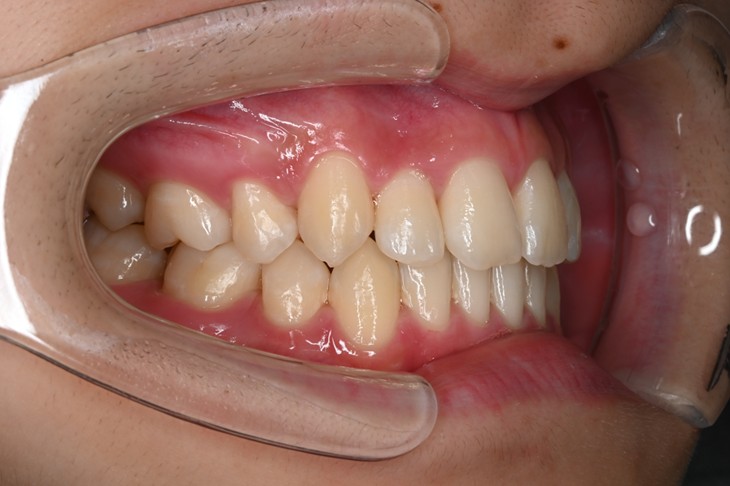
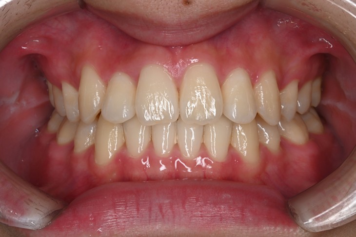
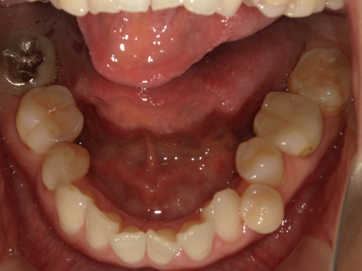
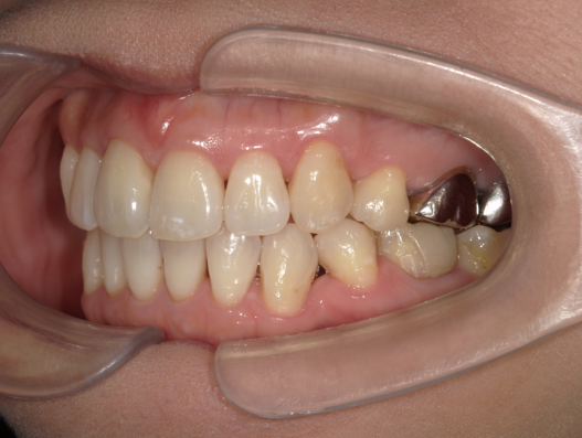
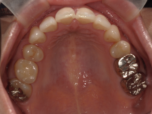
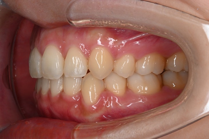
症例1:前歯のガタつきが気になる
| 治療前 | 治療後 |
|---|---|
![]() |
![]() |
![]() |
![]() |
![]() |
![]() |
![]() |
![]() |
※写真はクリックすると拡大します。
| 項目 | 詳細 |
|---|---|
| 患者様データ | 20代 女性 |
| 来院主訴 | 口元を下げたい。前歯のガタつきが気になる。 |
| 治療内容 | 口元を下げるために上下4本抜歯し、インビザラインにてマウスピース矯正を開始しました。かみ合わせを整えるためにゴムかけを行いました。 |
| 概算治療費 | 約90万円 |
| 治療期間 | 1年10ヶ月 |
| 通院回数 | 10回 |
| 矯正治療のリスクとデメリット |
・矯正治療中に違和感がある場合がある |
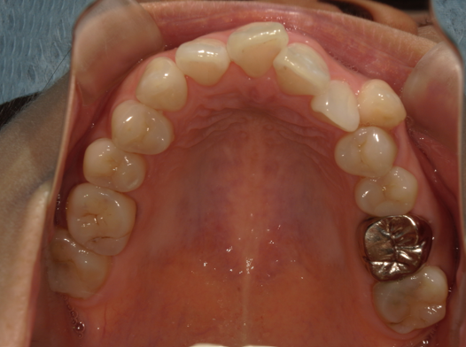
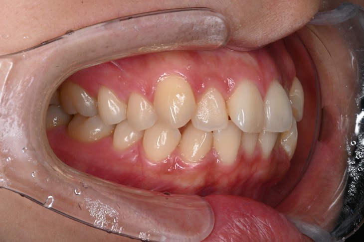
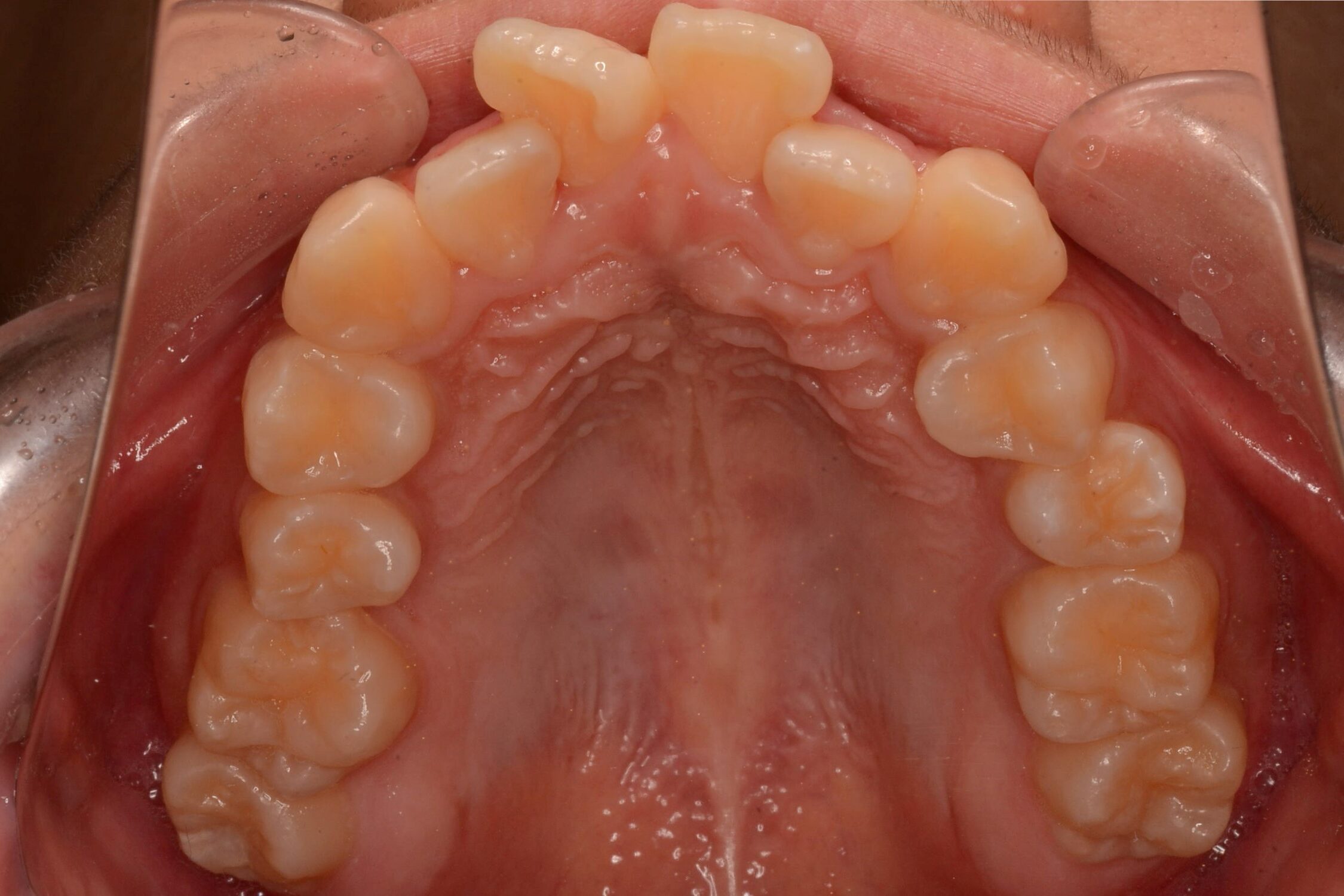
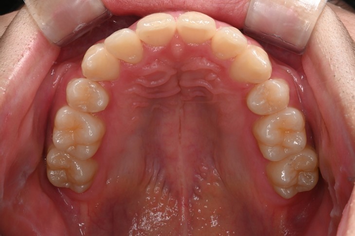
症例2:八重歯が気になる
| 治療前 | 治療後 |
|---|---|
![]() |
![]() |
![]() |
![]() |
![]() |
![]() |
![]() |
![]() |
※写真はクリックすると拡大します。
| 項目 | 詳細 |
|---|---|
| 患者様データ | 20代 女性 |
| 来院主訴 | 八重歯が気になる。 |
| 治療内容 | 八重歯を治すために上の親知らずを抜歯し、インビザラインにてマウスピース矯正を開始しました。かみ合わせを整えるためにゴムかけを行いました。 |
| 概算治療費 | 約85万円 |
| 治療期間 | 1年3ヶ月 |
| 通院回数 | 8回 |
| 矯正治療のリスクとデメリット |
・矯正治療中に違和感がある場合がある |
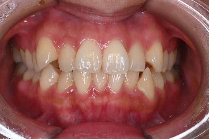
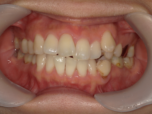
症例3:出っ歯が気になる
| 治療前 | 治療後 |
|---|---|
![]() |
![]() |
![]() |
![]() |
![]() |
![]() |
![]() |
![]() |
※写真はクリックすると拡大します。
| 項目 | 詳細 |
|---|---|
| 患者様データ | 20代 女性 |
| 来院主訴 | 出っ歯が気になる。 |
| 治療内容 | 出っ歯を治すために上の小臼歯を2本抜歯し、インビザラインにてマウスピース矯正を開始しました。かみ合わせを整えるためにゴムかけを行いました。 |
| 概算治療費 | 約85万円 |
| 治療期間 | 1年4ヶ月 |
| 通院回数 | 8回 |
| 矯正治療のリスクとデメリット |
・矯正治療中に違和感がある場合がある |
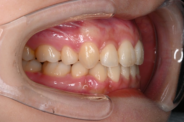
症例4:出っ歯が気になる
| 治療前 | 治療後 |
|---|---|
![]() |
![]() |
![]() |
![]() |
![]() |
![]() |
![]() |
![]() |
※写真はクリックすると拡大します。
| 項目 | 詳細 |
|---|---|
| 患者様データ | 10代 女性 |
| 来院主訴 | 出っ歯が気になる。 |
| 治療内容 | 出っ歯を治すために上下の小臼歯を4本抜歯し、表側ワイヤー矯正を開始しました。かみ合わせを整えるためにゴムかけを行いました。 |
| 概算治療費 | 約80万円 |
| 治療期間 | 2年6ヶ月 |
| 通院回数 | 30回 |
| 矯正治療のリスクとデメリット |
・矯正治療中に違和感がある場合がある |
症例5:前歯のでこぼこが気になる
| 治療前 | 治療後 |
|---|---|
![]() |
![]() |
![]() |
![]() |
![]() |
![]() |
![]() |
![]() |
※写真はクリックすると拡大します。
| 項目 | 詳細 |
|---|---|
| 患者様データ | 10代 女性 |
| 来院主訴 | 前歯のでこぼこが気になる。 |
| 治療内容 | でこぼこを治すために上下の小臼歯を4本抜歯し、表側ワイヤー矯正を開始しました。かみ合わせを整えるためにゴムかけを行いました。 |
| 概算治療費 | 約80万円 |
| 治療期間 | 1年11ヶ月 |
| 通院回数 | 23回 |
| 矯正治療のリスクとデメリット |
・矯正治療中に違和感がある場合がある |









































